
說到牙醫診所大部分人應該都跟小梅一樣會產生一莫名的抗拒感吧! 但是牙醫是我們最少半年到一年就要去看診一次的,因為需要去檢查牙齒和洗牙呀 ! 這樣才能保障我們的牙齒健康。自從小梅瘦下來後最想做的事情就是矯正牙齒了!! 其實我大概在1年前就有想要帶牙套矯正牙齒了,那時候有去給醫生評估過,因為我之前 牙齒咬合神經發炎有開刀過,所以醫生說我帶牙套的時間會比一般人長,因為不能拉得太緊 必須要慢慢的調整不能太心急,再來就是聽說帶牙套超痛的,所以我就一直拖到現在都還不敢開始…, 因為我真的是超級怕痛,隨著現在日新月異的科技,希望未來矯正牙齒的技術可以更快速有效, 這次有幸被受邀參加了悅庭診所舉辦的一個學習茶會,讓我見證到他們數位全瓷設計研磨中心 以及植牙+假牙技術。小梅發現這家診所的氣氛非常的輕鬆,不像以往去看牙醫那樣的令人緊張。

悅庭牙醫診所就位於士林捷運站附近, 1號出口大概步行5分鐘就可以到了,診所就在二樓, 上樓梯的地方還有設德國品牌ThyssenKrupp的電動升降椅,為年長者或是行動不便的人 提供了一個無障礙的空間,只要按下旁邊的電鈴,馬上就會有專人來為您服務了, 小梅覺得悅庭牙醫診所真得超貼心!!!


樓梯兩旁的牆壁擺放了許多的證書,我覺得悅庭牙醫診所的整個環境和裝潢風格很 溫馨明亮讓人非常的放鬆,燈光的溫和色調完全沒有給人可怕的牙醫抗拒感XD


悅庭牙醫診所非常在意每個病患所重視的問題所以提供了最安全可靠、 技術先進和治療快速的環境給大家,讓你在整個看牙醫的過程 除了能感受到他們的貼心和專業,也能在快速的時間完成治療效果。


悅庭牙醫診所目前擁有六套(口內掃描機+牙齒研磨機)是全台灣擁有最多設備的診所, 最完善的團隊,內部醫療團隊全部都是受過Sirona原廠教育訓練的醫師以及國家認證的 牙體技術師 (製作牙套、假牙等的專門人員)。而且在今年也即將成立”CEREC Asia數位 牙科教學中心”,教學對象針對醫師和牙體技。這樣的高科技設備可以說是非常的先進呀~ 還有牆面上掛滿滿的牙醫專科醫師證書,讓來這邊看牙的病患更加的安心放心! 醫生的陣容也很堅強,共有11位醫師輪流看診,所以不管你有什麼牙齒上的問題, 都可以放心的交給悅庭牙醫就對了!!


這次主要是來見證悅庭最新的數位全瓷假牙技術,口外掃描機、研磨機、,開場是營運長柔君簡短的介紹一下, 再由院長曹醫師為我們切入主題,首先放了一段介紹 CEREC 3D 齒雕的影片,小梅覺得目前最多人需要的 應該是快速全瓷牙套吧!悅庭牙醫診所努力整合了數位技術,使用了3個國家五種最先進的數位設備。


有別於一般牙醫診所外送技工室(製作牙套、假牙等的專門場所),悅庭成立了自己的”數位全瓷設計研磨中心”, 可以當場製作修改,減短了流程和時間往返的浪費,而過去傳統製作假牙的方式是要耗時1-2週的時間, 必須要先經過牙醫師看診印模,再交給牙技師灌模雕刻,拋光、研磨等流程製成假牙後再送回牙醫診所。 這樣根本就不可能當天會好,小梅也覺得這樣非常的浪費時間,現在悅庭牙醫診所用最快速且最專業的 數位整合技術,只要約兩個小時馬上就能做好一顆牙套! 我們有先看了一段微電影,裡面的女孩外表美美的,第一次要跟男網友出去看電影。


男網友也很開心其待可以看到她,沒想到因為女孩一開口的甜笑……


把原本
上前迎接她的男網友嚇跑了…真得很讓人難過!




真的用看一部電影的時間就可以整好牙,馬上讓男網友看得目瞪口呆了!哈哈,你現在後悔也沒用啦! 

真的只需要看一場電影的時間,就可以整好牙讓你立即恢復自信美麗的笑容。 所以不管你是在國外工作的台商還是趕時間要出國旅遊的朋友,想要快速解決牙齒的問題 來悅庭牙醫診所就對了!!!

現在就讓院長親自示範給我們看這是如何辦到的,院長手中拿著的是一個超快速的數位化口內掃瞄機進行掃描, 配有精密光學鏡頭,用來掃描牙齒以及缺口的情形,所有影像會即時回傳到電腦上進行組合。


只要大約3-5分鐘的時間就可以把整個口腔的牙齒及牙齦部分組合成3D影像,還可以360度掃瞄翻轉, 影像擷取完畢之後,電腦首先會建立一個虛擬模型,然後透過高科技的「生物仿真軟體」,進行咬合運算。


透過電腦的精確計算,繪製出邊界,當口內掃描完成後,所有的資料會傳送到, 「3D全瓷冠4軸快速研磨機」,然後當場就可研磨出假牙了,小梅覺得這台機器超強的。


這是等會要使用的材料,VITA瓷立方玻璃陶瓷,根據不同需求可以選擇不同類型的瓷牙, 瓷牙有許多不同的材料,還有硬度也是都不一樣喔!


接下來將VIT瓷立方陶瓷放入臨床專用的大型研磨機,上面有數位顯示器會告訴我們預估剩餘的時間。


採用精密的研磨系統,全自動化的研磨控制提供快速與精確的研磨成果, 平均一顆牙竟然只要10分鐘就研磨完成啦! 真的是非常快速!!!


好了,整個過程就這樣完成了,也太神奇了吧! 這個就是修復體的樣子啦,不過在真正使用前,還要先打亮拋光


看,成品出來了,套用在模型上,(那顆顏色特別的漂亮,很好跟其他的牙齒做區分)


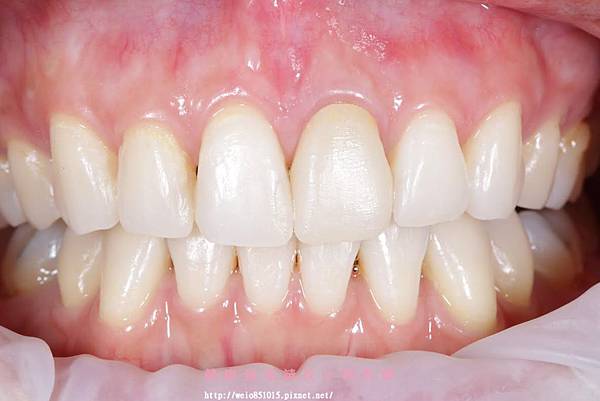
完成後還可以針對牙齒的上色,牙技師會拿實際牙齒的照片比對來進行細部的上色, 經過處理後的顏色就會完全地融合上去~上完色後會再進行超高溫烤爐定色, 這樣牙齒看起來可以更自然漂亮,讓別人完全都看不出來你有作假牙唷!



其實你們也不用擔心說這麼快速製作出來的牙套會不夠牢靠喔!!因為悅庭診所的牙套材料 都是來自德國的VIT瓷立方玻璃陶瓷,材質非常的堅固,不用擔心 !整體來說小梅覺得 悅庭牙醫診所在品質上是真的非常的用心,來到這裡感覺特別的安心和放心,所以之後 小梅帶牙套也會想要來這邊做喔!畢竟像這樣專業又讓人放心的診所真的不多了!!!


